- 7月 30 週二 201916:58
完美的牙周治療

台北市牙醫推薦 牙周雷射微創植牙的專家 大安區優質牙醫 微光牙醫
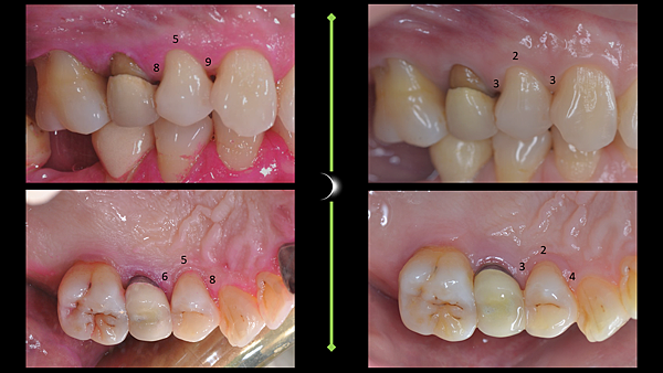
完美的牙周治療就是符合今日吾輩追求健康的兩大目標:功能與美觀
功能的部分有:
牙周囊袋深度降低到4mm以下

骨質密度增加

美觀的部分則為最少的牙齦萎縮,甚至像這個病例整體癒合非常良好,帶動了牙齦向上爬升

而如此完美的結果,莊醫師是以不開刀也不補骨的方式達成,在顯微鏡下以雷射與其他精細的工具進行牙齦下根面清創
這個案例莊醫師亦發表於國際社群網站,並再度得到前美國牙周病醫學會理事長的高度肯定!

如此輕鬆的治療,對你來說,是不是更完美了?
全台灣顯微牙周雷射治療的權威 唯一指名:微光牙醫莊邦寧醫師 02-23258678
更多植牙牙周相關資訊,臉書搜尋「莊醫師好周道」